УлыбкаPRO
УлыбкаPRO
Цифровая стоматология

Наши работы

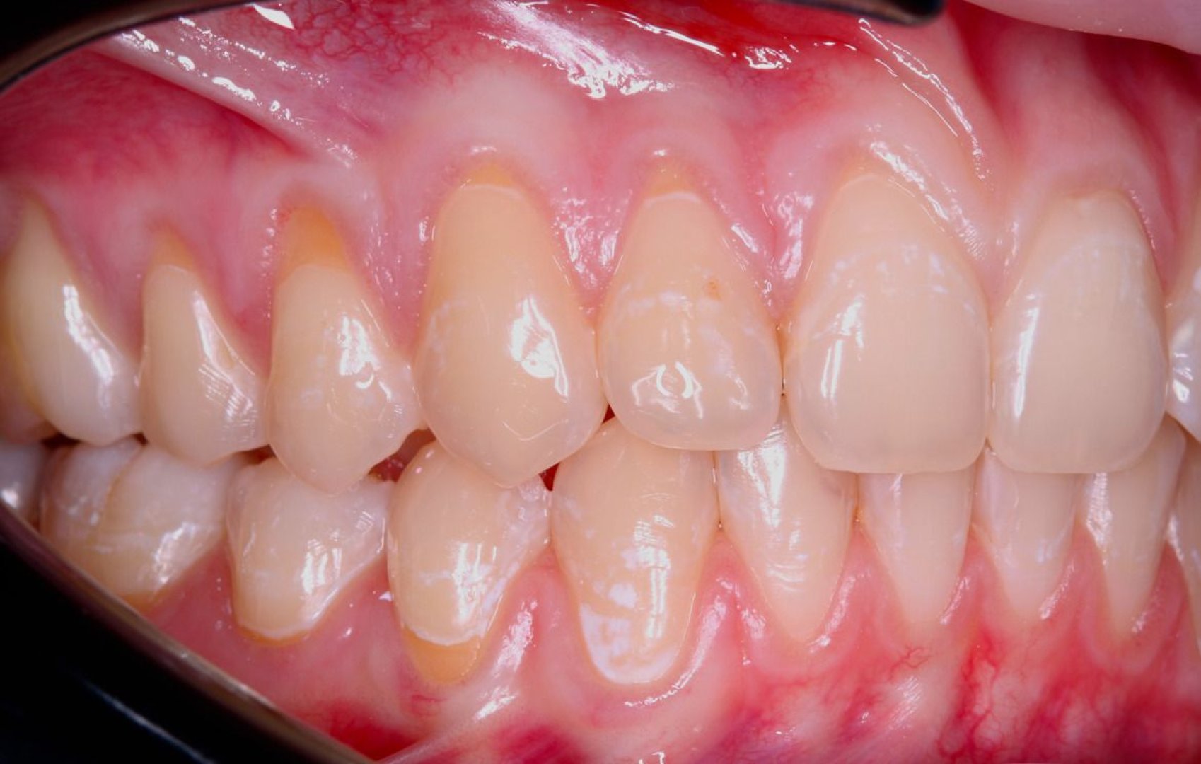
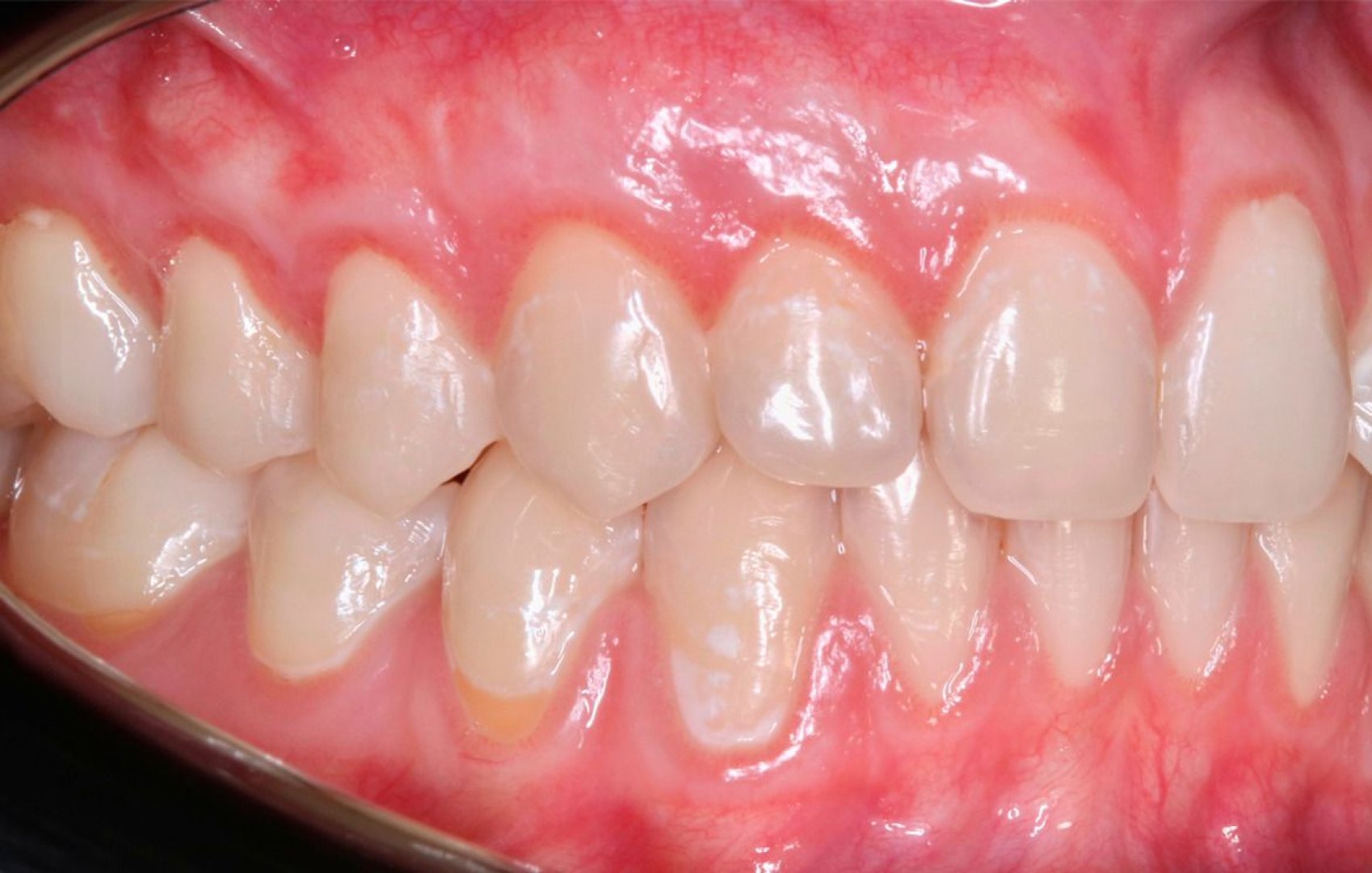
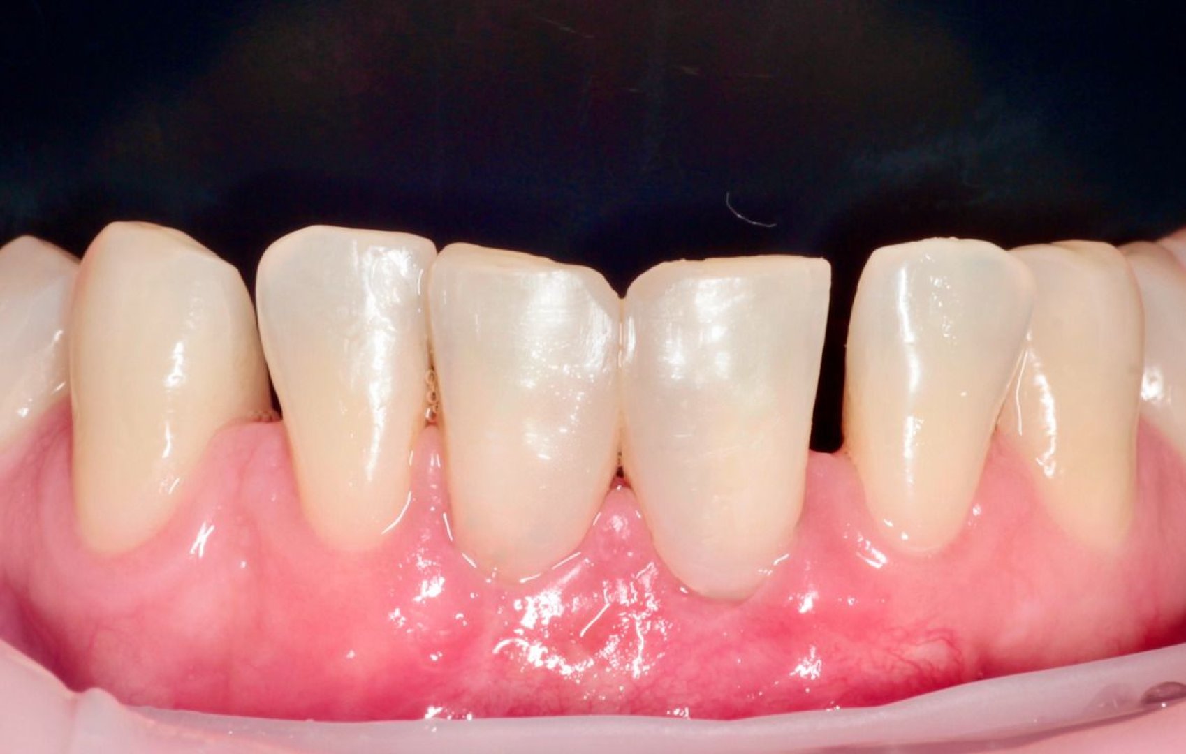
Пластика десны и реставрация зубов

Подробнее →
После
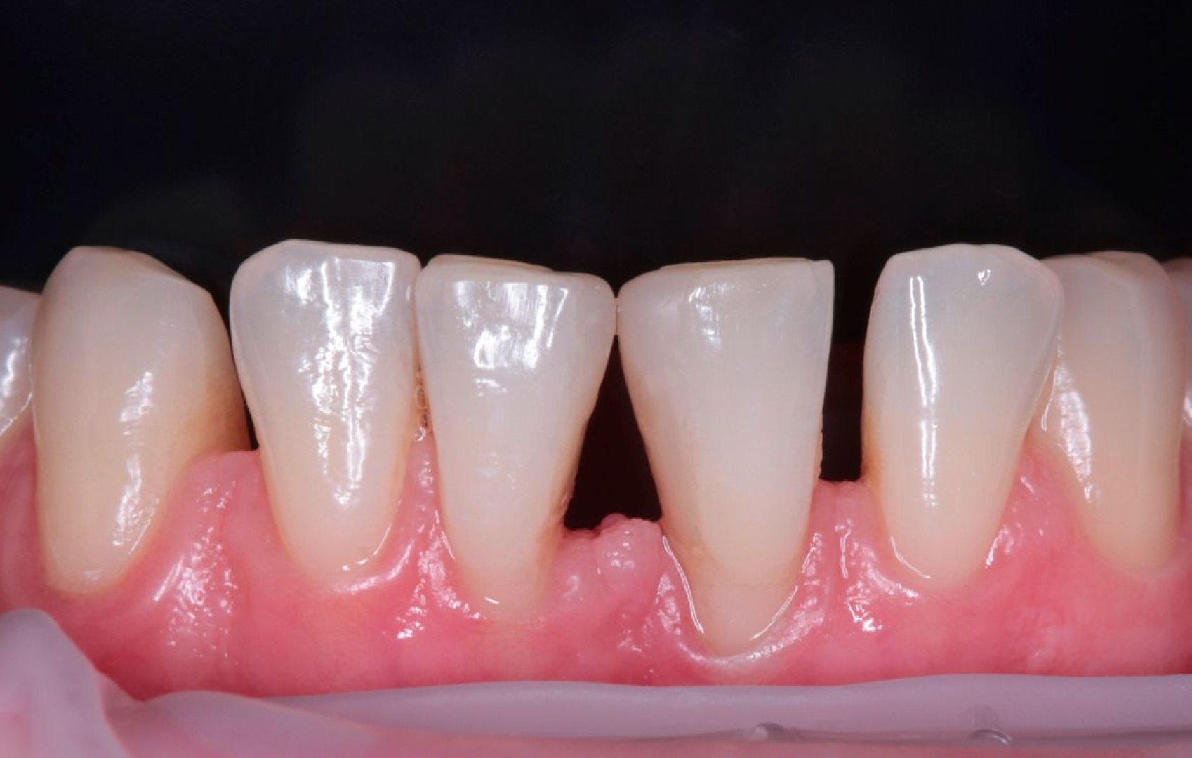
До
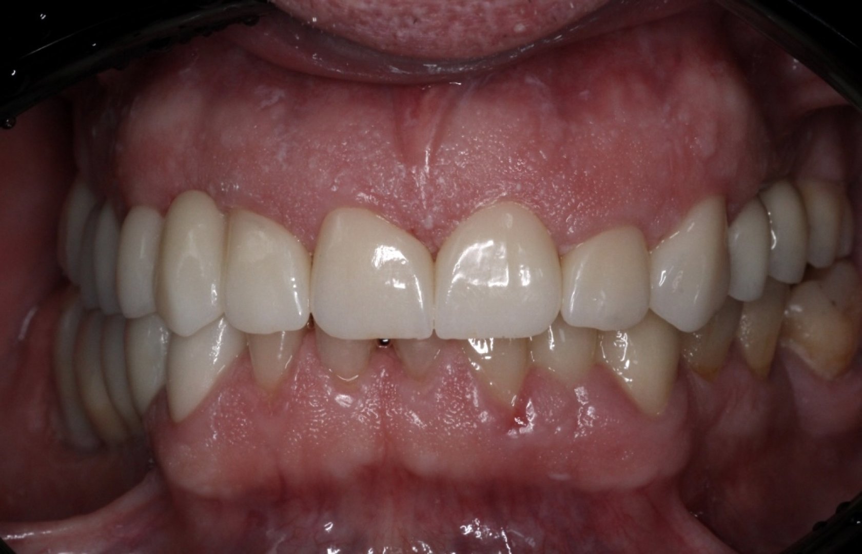
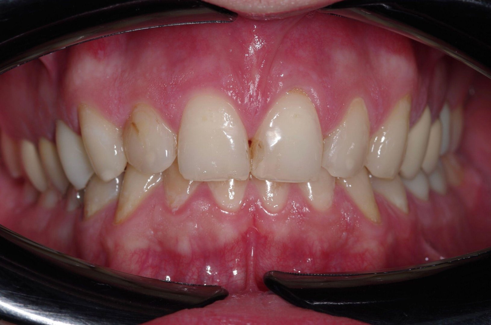
До
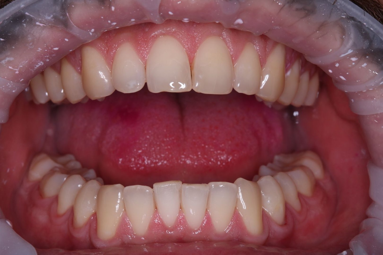
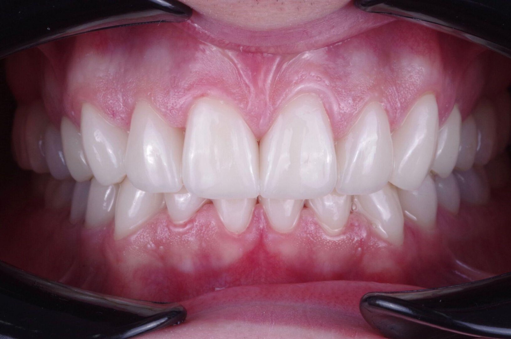
После
Реставрация зуба фронтальной группы
11 900 ₽
Виниры

Новая улыбка за несколько дней!

Прошло менее 2 недель!

Циркониевая коронка
67 000 ₽ 48 900 ₽

Замена пломбы на зубе 14 (II класс) под микроскопом

Пациент обратился с жалобами на реакцию зуба 14 на термические раздражители и сладкое. Результат: восстановлен контактный пункт и анатомия зуба.

Лечение кариеса I класса под микроскопом

Пациент обратился с жалобой на реакцию зуба на сладкое. Диагностирован кариес I класса. Результат: восстановлена анатомия и герметичность зуба.

Замена старой пломбы на зубе 4.7

Несостоятельность старой композитной пломбы в зубе 4.7 (второй моляр нижней челюсти), выявленная в ходе плановой санации.

Имплантация

Хирургический 3D-шаблон для имплантации: планирование установки имплантов

Необходимость восстановления отсутствующих зубов с помощью имплантации. Требовалось максимально точное и безопасное позиционирование имплантов в костной ткани для долгосрочного прогноза и эстетики.

После
До
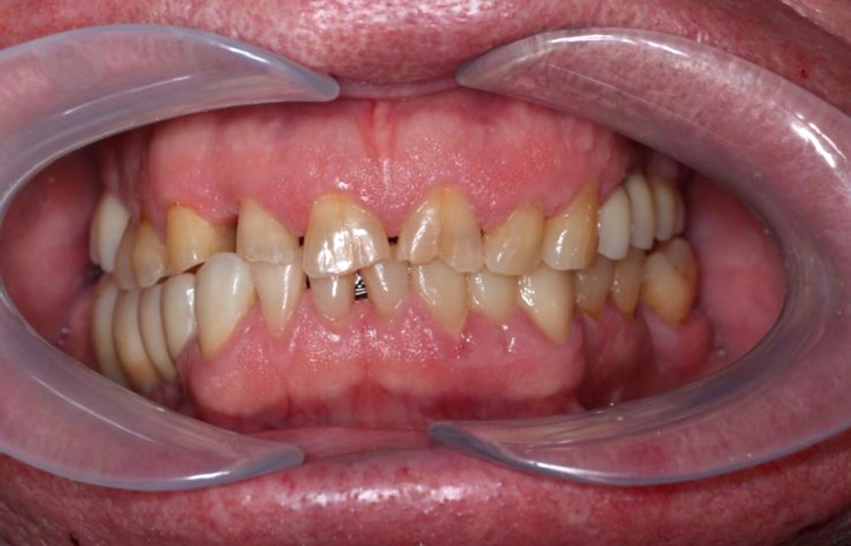
До
После