УлыбкаPRO
УлыбкаPRO
Цифровая стоматология

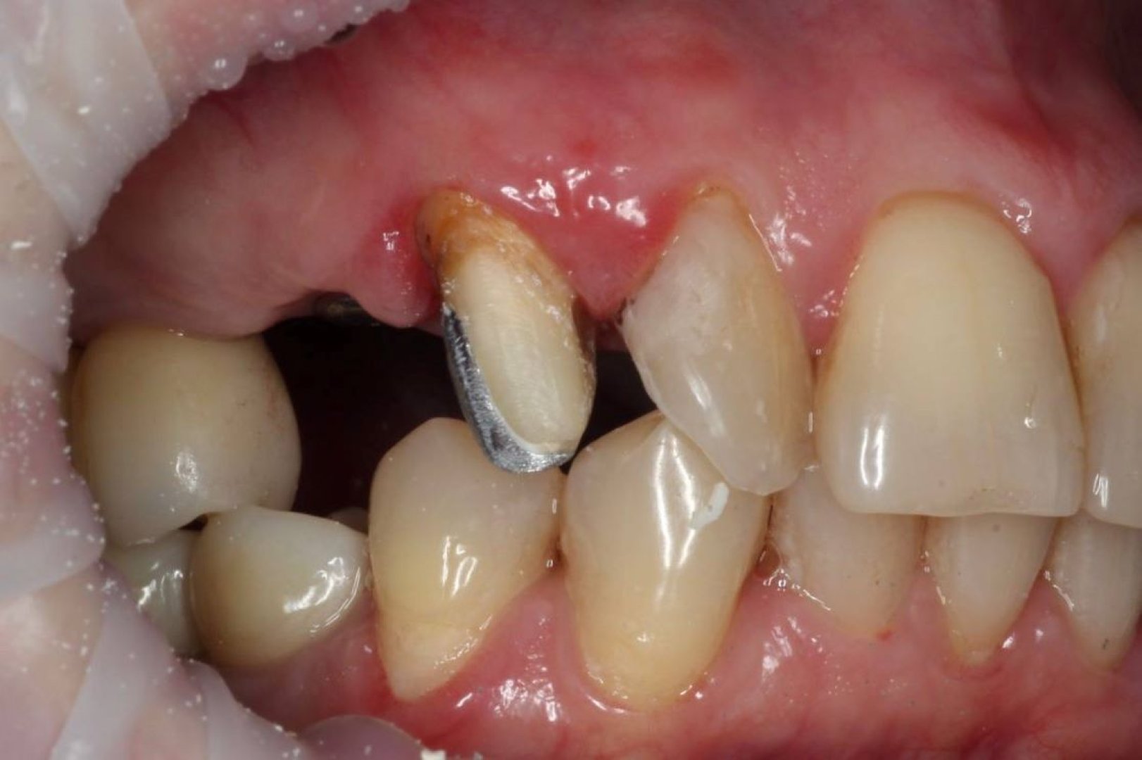
Перепротезирование зуба, имплантация

Перепротезирование 13 зуба коронкой из диоксида циркония, имплантация 14 зуба Dentium с протезированием диоксид циркониевой коронкой на винтовой фиксации

Результат лечения

До

До

Перепротезирование зуба, имплантация_before
После

После

Перепротезирование зуба, имплантация_after

Стоимость лечения

Имплантация Dentium

51 900 ₽

Записаться на приём

Онлайн или по телефону

Беспроцентная рассрочка

Доступна рассрочка на лечение

Онлайн запись