УлыбкаPRO
УлыбкаPRO
Цифровая стоматология

Профессиональная гигиена полости рта по протоколу GBT

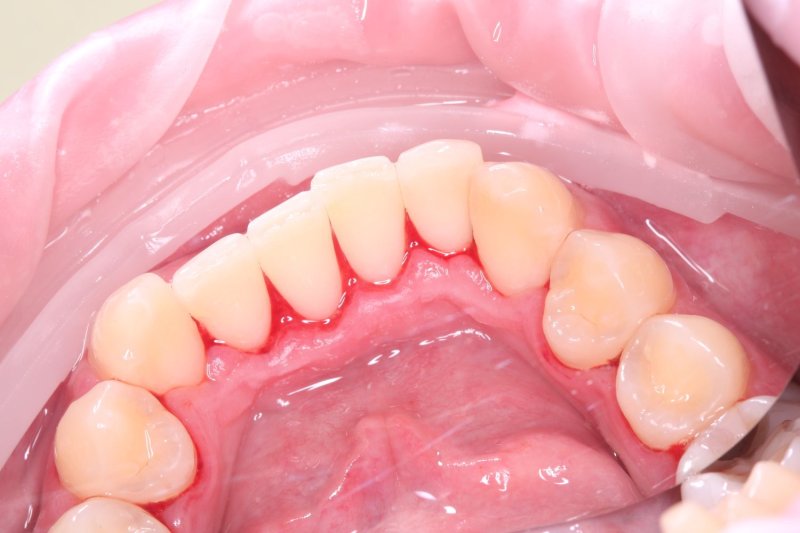
Полностью устранены мягкие и твердые зубные отложения. Купировано воспаление десен, исчезла болезненность. Достигнута гладкость эмали и здоровый цвет десневого края, что значительно улучшило гигиеническое состояние полости рта.

Результат лечения

До

До

professionalnaya-gigiena-gbt-protokol-do
После

После

professionalnaya-gigiena-gbt-protokol-posle

Проблема пациента

Воспаление и болезненность десен, наличие мягкого налета и твердых зубных отложений (зубного камня), являющихся основной причиной воспалительного процесса.

Этапы лечения

1

Диагностика

Оценка состояния десен и определение индекса гигиены для выбора тактики очищения.

2

Профессиональная гигиена GBT

Проведение чистки по современному швейцарскому протоколу Guided Biofilm Therapy (GBT), включающему контролируемое удаление биопленки, зубного камня и полировку зубов.

3

Завершающий этап

Нанесение реминерализующего состава для укрепления эмали и снятия чувствительности.

Результат

Полностью устранены мягкие и твердые зубные отложения. Купировано воспаление десен, исчезла болезненность. Достигнута гладкость эмали и здоровый цвет десневого края, что значительно улучшило гигиеническое состояние полости рта.

Дополнительные фото

professionalnaya-gigiena-gbt-protokol-rabota-1
professionalnaya-gigiena-gbt-protokol-rabota-2

Стоимость лечения

Гигиена по GBT протоколу

14 200 ₽

Записаться на приём

Онлайн или по телефону

Беспроцентная рассрочка

Доступна рассрочка на лечение

Онлайн запись