УлыбкаPRO
УлыбкаPRO
Цифровая стоматология

Протезирование коронками из диоксида циркония

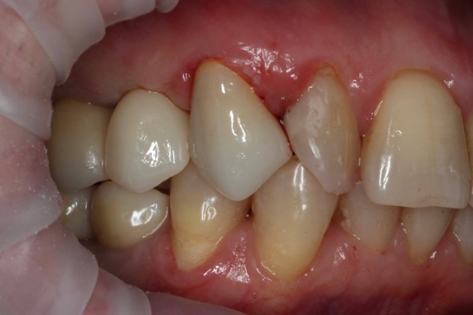
Протезирование ранее установленных и интегрированных имплантатов Dentium коронками из диоксида циркония с винтовой фиксацией 46, 36, 37 зубы

Результат лечения

До

До

Протезирование коронками из диоксида циркония_before
После

После

Протезирование коронками из диоксида циркония_after

Проблема пациента

Ранее установлены и интегрированы имплантаты Dentium в области 46, 36, 37. Задача — восстановить жевательную эффективность и эстетику. Снятие слепков/сканирование; подбор абатментов; изготовление циркониевых коронок; примерка окклюзии; винтовая фиксация; герметизация винтового доступа.

Этапы лечения

1

Снятие слепков/сканирование

2

подбор абатментов

3

изготовление циркониевых коронок

4

примерка окклюзии

5

винтовая фиксация

6

герметизация винтового доступа

Результат

Надёжная фиксация, точная посадка и естественный цвет. Функция восстановлена.

Стоимость лечения

Циркониевая коронка

44 900 ₽

Записаться на приём

Онлайн или по телефону

Беспроцентная рассрочка

Доступна рассрочка на лечение

Онлайн запись