УлыбкаPRO
УлыбкаPRO
Цифровая стоматология

Стоматология в кредит

Виниры в кредит

Установка керамических или композитных виниров с возможностью оформления рассрочки или потребительского кредита на лечение

Виниры в кредит

Виниры в кредит 0%

Виниры в кредит 0% — это когда вы получаете голливудскую улыбку сегодня, а платите частями без процентов.

0% без переплаты
12-24 месяца
15 мин оформление

Не копите 200 тысяч. Не откладываете на «когда-нибудь». Делаете сейчас — платите 12 или 24 месяца равными платежами.

паспорт 15 минут без справок одобрение в день визита

Кредит оформляется прямо в клинике за 15 минут. Нужен только паспорт. Банк одобряет заявку — и в тот же день вы начинаете лечение. Никаких походов в офис банка, никаких справок о доходах.

Какие виниры можно поставить в кредит?

Виниры

Керамические виниры
Тонкие и прочные пластинки, идеально имитирующие естественную эмаль. Срок службы — 10-15 лет.
Оптимальное соотношение цены и качества.
Циркониевые виниры
Премиальный вариант для тех, кто ценит надёжность и долговечность. Срок службы — 15-20 лет.
Цирконий устойчив к сколам, выдерживает интенсивные нагрузки.
Виниры E-max (Премиум)
Люксовые виниры из высококачественной прессованной керамики. Срок службы — 20+ лет.
Идеально воспроизводят натуральный блеск здоровых зубов — полупрозрачность, игра света, как у натуральной эмали.

Все типы виниров доступны в кредит — от классической керамики до премиального E-max.

Выбираете материал по эстетике и бюджету, а платите так, как вам удобно.

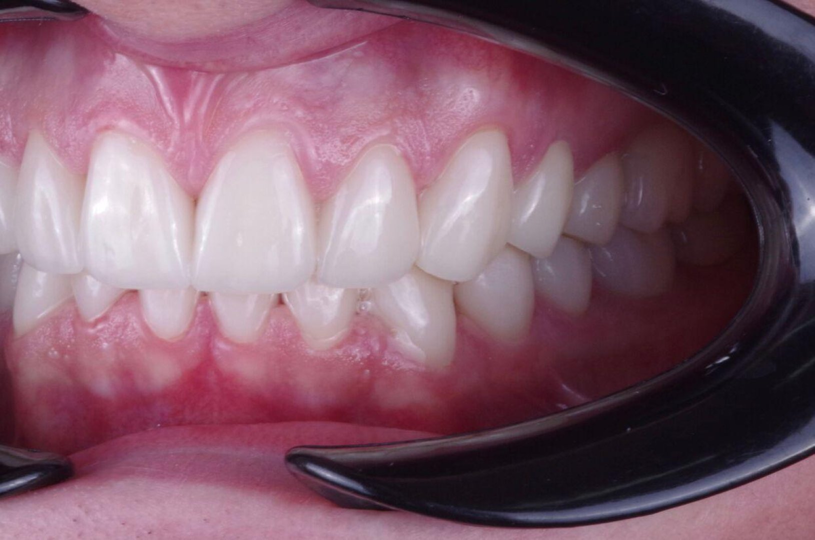
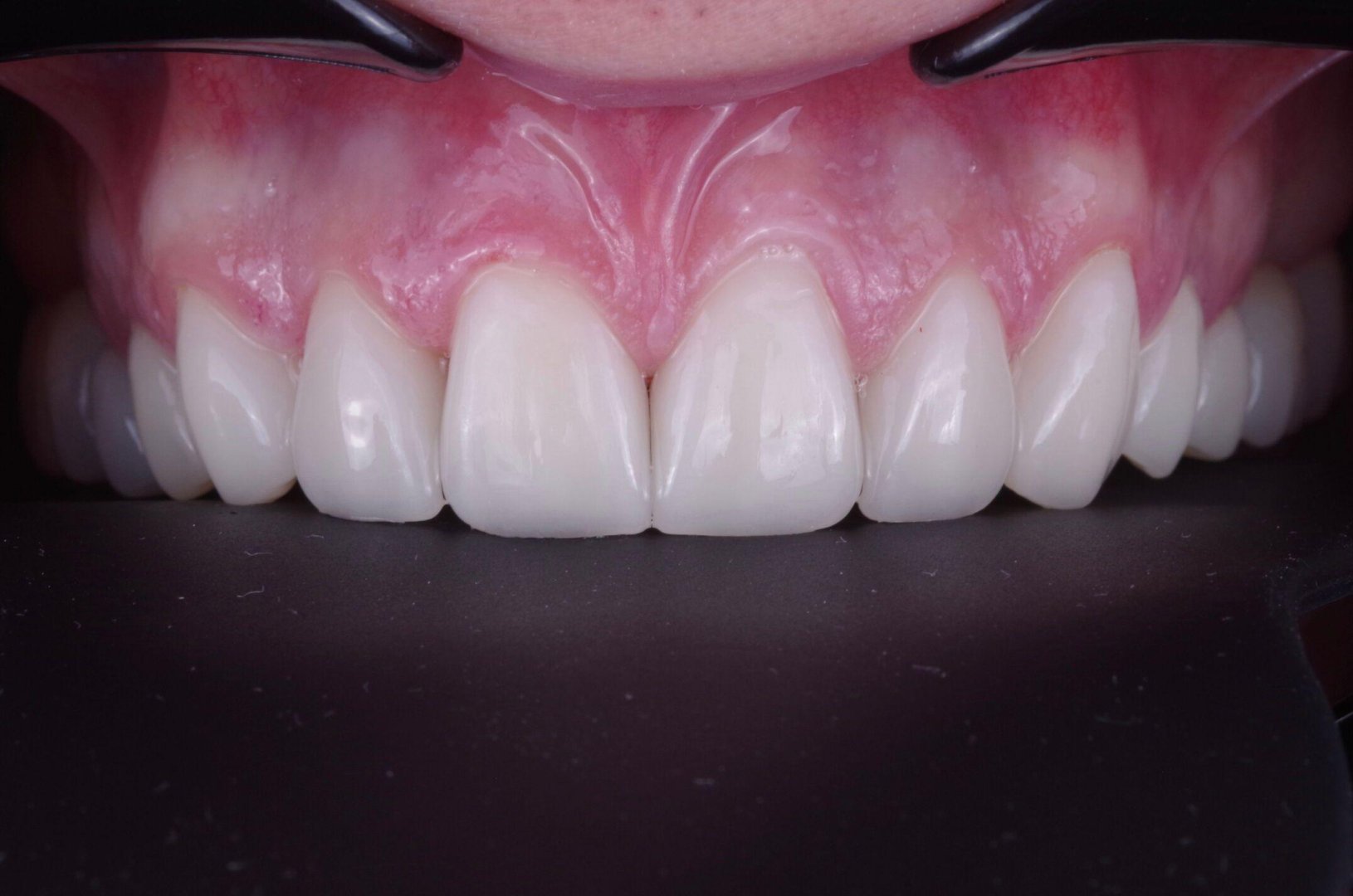
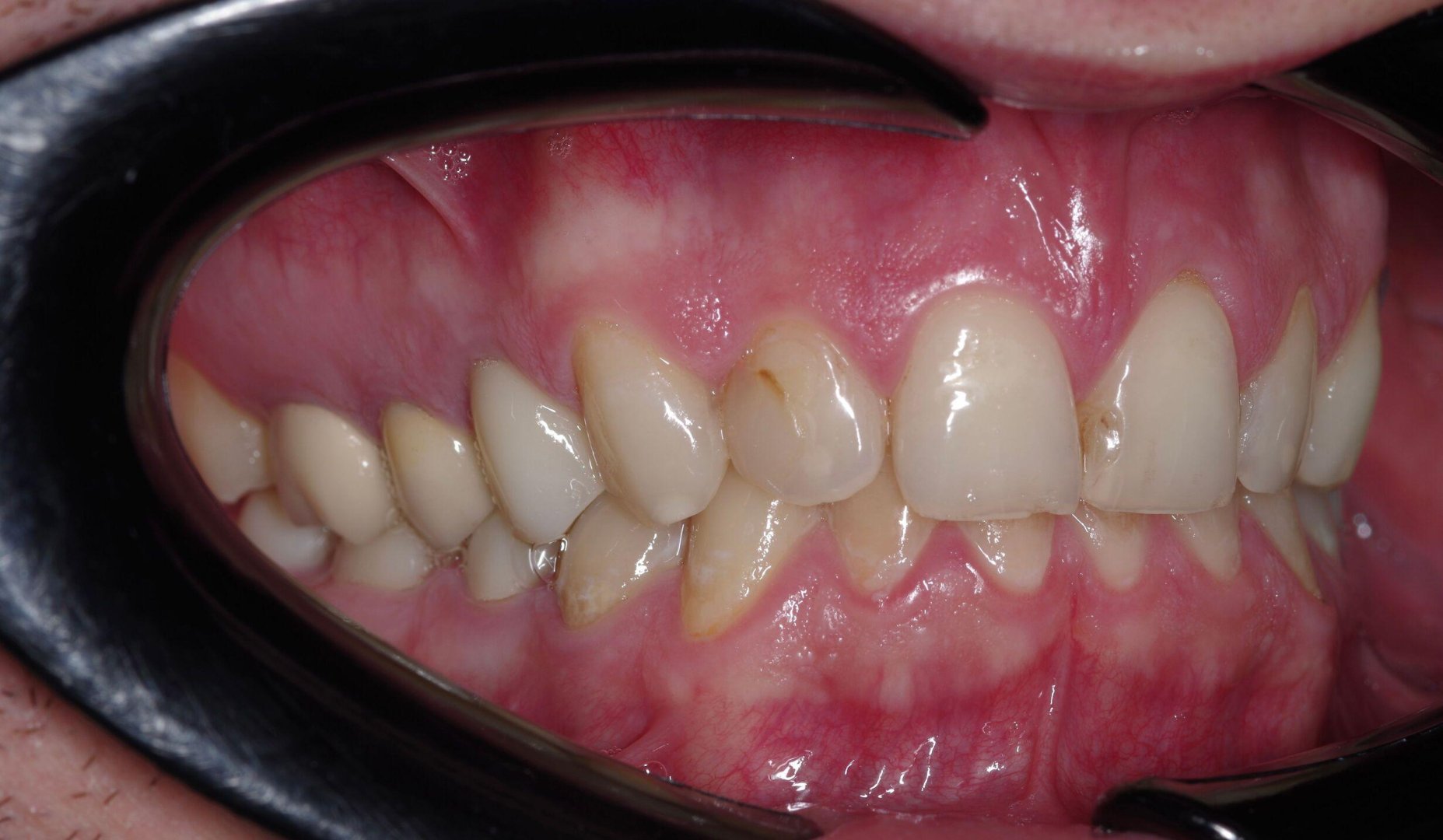
Преображение улыбки: виниры E.max (пример)

Тотальная реставрация зоны улыбки: задача — ровно, светло и при этом естественно. Обратите внимание на «живую» прозрачность и блеск — именно за это E.max любят.

ДО
Виниры E.max — до лечения
ПОСЛЕ
Виниры E.max — после лечения
Виниры E.max — результат

Как выглядит «естественно»

Важно не просто «сделать белее». Важно попасть в форму, длину, наклон и прозрачность. E.max помогает передать глубину цвета и светопреломление — поэтому виниры не выглядят плоско.

Кредит vs Накопление: почувствуйте разницу

КритерийЕсли копитьКредит 0% в клинике
СрокиЖдать 12-18 месяцев
Улыбка через 2-3 недели
Оплатаоткладывая по 10-15 тыс ₽/мес
Те же 10-15 тыс ₽/мес — но результат сразу
Рост ценЗа это время цены могут вырасти на 10-15%
Фиксированная цена

Итог: та же ежемесячная сумма, но красивая улыбка на год раньше. За это время вы успеете сделать 100 селфи, сходить на 20 свиданий и получить 1000 комплиментов. А можно было копить и грустить.

Что входит в стоимость виниров в кредит

Входит в стоимость

  • Консультация ортопеда + 3D-сканирование
  • Диагностика и подготовка зубов
  • Обточка зубов под местной анестезией
  • Временные виниры на период изготовления
  • Изготовление виниров в своей лаборатории
  • Примерка и финальная фиксация
  • Гарантия на виниры — 2 года
  • Контрольные осмотры первый год — бесплатно

Условия программы «Виниры в кредит 0%»

Кредит без переплат

Сильно

Процентная ставка 0% — платите только утверждённую стоимость виниров. Клиника компенсирует проценты банку за вас.

Банки-партнёры

Сильно

Сбербанк, Тинькофф, Альфа-Банк — выбирайте, где удобнее условия. Заявка подаётся сразу во все 3 банка — одобряет тот, где лучше скоринг.

Срок кредита: 6-24 месяца

Сильно

Выбираете комфортный для вас срок. Чем дольше — тем меньше ежемесячный платёж.

Минимум документов

Сильно

Нужен только паспорт гражданина РФ. Справки о доходах не требуются — банк принимает решение по внутренней скоринговой модели.

Одобрение за 10-15 минут

Сильно

Заявка подаётся прямо в клинике. Решение банка — в течение 15 минут. Одобрили — сразу начинаете лечение.

Без первоначального взноса

Сильно

Не нужно вносить 10-20% сразу — оформляете кредит на всю сумму.

Без скрытых комиссий

Сильно

Нет комиссии за выдачу, за обслуживание, за досрочное погашение. Прозрачные условия.

Отзывы

Отзывы пациентов

15 последних отзывов наших пациентов в хронологическом порядке.

Все отзывы

Лечение каналов под микроскопом это совершенно другой уровень качества и точности в стоматологии. Врач видел каждую деталь и смог спасти мой безнадежный зуб который в других местах предлагали просто удалить.

ЖП

Жанна поцюте

09.03.2026

Яндекс.Карты

обратились для проф гигиены и лечения кариеса - все сделали аккуратно и без боли. понравилось отношение и современное оборудование

Алина

Алина

08.03.2026

Яндекс.Карты

Обратился за консультацией по поводу исправления прикуса и получил очень развернутые ответы на все свои многочисленные вопросы. Врач ортодонт предложил несколько вариантов брекетов и элайнеров учитывая мои финансовые возможности и пожелания.

ВМ

Виталий Мухин

08.03.2026

Яндекс.Карты

Воспользовался услугой имплантации под ключ вместе с циркониевой коронкой и результат просто ошеломительный. Зуб выглядит как настоящий и совсем не отличается от соседних по цвету или форме а цена за весь комплекс работ была очень честной.

АД

Александр Дёмин

08.03.2026

Яндекс.Карты

Поздравляю персонал клиники с праздником! Восстановление зубов оказалось довольно долгим - несколько удалений, 8 имплантов и 11 коронок -только для начала. Каждый раз приезжал в клинику с удовольствием. Наверно потому что здесь работают лучшие)) Хорошо что вы есть. Спасибо.

AD

Alex D.

07.03.2026

Яндекс.Карты

Привела ребенка на первый в жизни осмотр и осталась в полном восторге от подхода врачей к маленьким пациентам. Ребенок даже не успел испугаться потому что все прошло в игровой форме и теперь мы пойдем лечить зубки без слез и лишних нервов.

Ольга

Ольга

07.03.2026

Яндекс.Карты

Огромное спасибо клинике и докторам за то что взялись за мою сложную челюсть) Доктору ортодонту Аните Георгиевне огромное спасибо, что взяла меня на снятие брекетов, после другого врача, т.к. многие отказывали отказывали в этом. Доктору-терапевту Эльшаду и Доктору-хирургу Лейли, выражаю огромную благодарность за грамотный подход к лечению полости рта и сохранению своих же зубов. Советую данную клинику, здесь вы получите грамотное лечение и отношение и по демократичным ценам!

NeyronaS Е.

NeyronaS Е.

05.03.2026

Яндекс.Карты

Добрый день! Лечил в этом прекрасном месте зубы. Хотел отметить три главных впечатления: 1. Клиника чистая, атмосфера приятная, сотрудники приветливые, коммуникация - отличная. 2. Хочу сказать слова благодарности Благушиной Наталие Алексеевне , ее ассистентке ( не помню имя) - вы прекрасный хирург. Было оперативное удаление зуба мудрости и чистка десны от остатков корня клыка за 1 раз. Я был впечатлен скоростью работы и ее качеством. Спасибо вам огромное!!! 3. Также хочу поблагодарить Рудометову Марину Алексеевну и ее помошниц ( а их редко благодарят, хотя они тоже вносят немалый вклад в результат) за три залеченных зуба. Марина Алексеевна составила план лечения, первый раз мне лечили зубы с использованием микроскопа, был удивлен. Очень доволен результатом . Спасибо вам огромное!!!

Maxim Mironov

Maxim Mironov

04.03.2026

Яндекс.Карты

Сделали профессиональную гигиену и отбеливание, результат заметен сразу. Врачи внимательные, атмосфера приятная

АМ

Анфиса Митрофанова

04.03.2026

Яндекс.Карты

Была сегодня на гигиене полости рта. Эта одна из самых стрессовых для меня процедур. Я сложный пациент в этом плане. Но как бережны и обходительны были со мной врач Мария и медсестра Светлана! Два моих зубных ангела) Именно благодаря их профессионализму и терпению хожу только в эту клинику. Спасибо и до новых встреч ❤️

Анна Кантер

Анна Кантер

03.03.2026

Яндекс.Карты

Цены на лечение полностью соответствуют качеству предоставляемых услуг и высокому уровню сервиса. Всё прозрачно и честно, план лечения составляют заранее и не навязывают ничего лишнего.

Ю

Юлия

02.03.2026

Яндекс.Карты

Закончила здесь курс ортодонтического лечения и теперь у меня идеально ровные зубы о которых я долго мечтала. Врач всегда был на связи и внимательно контролировал каждый этап процесса.

ЮИ

Юлия И.

01.03.2026

Яндекс.Карты

Ставил здесь имплант и процедура прошла на удивление быстро и очень легко. Всё зажило без малейших осложнений и новый зуб теперь выглядит и ощущается как свой родной.

V

Vasy

27.02.2026

Яндекс.Карты

Плюсы: Прекрасная атмосфера, внимательный персонал, и главное: не больно и быстро происходит лечение. Рекомендую!!!! Респект всему персоналу!!!

Александр

Александр

26.02.2026

Яндекс.Карты

Попал с острой болью, приняли сразу, без очереди. Врач сделал снимок, все подробно объяснил, пролечил зуб быстро и аккуратно - хотя вообще не люблю стоматологов. Цены адекватные, качеством доволен, буду обращаться ещё.

АМ

Арсений Михайлов

26.02.2026

Яндекс.Карты

Как оформить виниры в кредит — пошагово

1

Записаться на консультацию

5 минут

Звоните по телефону или оставляете заявку на сайте. Консультация бесплатная при записи онлайн.

2

Прийти на диагностику

60-90 минут

Врач осматривает зубы, делает 3D-сканирование, показывает, как будут выглядеть виниры на ваших зубах (цифровая примерка). Составляет план лечения и озвучивает стоимость.

3

Оформить кредит прямо в клинике

15 минут

Менеджер помогает заполнить заявку, выбрать банк и срок кредита. Банк одобряет заявку за 10-15 минут. Подписываете договор — и готово.

4

Начать лечение в тот же день

Кредит одобрен — переходим к лечению. Если зубы здоровые, можно сразу снять слепки и обточить зубы. Если нужна подготовка (лечение кариеса) — запланируем на ближайшие дни.

5

Получить виниры через 2-3 недели

2-3 недели

Виниры изготавливаются в своей лаборатории 7-14 дней. Приходите на финальную установку — и уходите с голливудской улыбкой. Первый платёж по кредиту — через месяц.

Гарантии на виниры в кредит

Гарантия на виниры

2 года

Бесплатная замена винира при сколе, трещине или отклейке — при соблюдении рекомендаций врача (не грызть орехи, не открывать зубами бутылки).

Гарантия на работу врача

1 год

Если винир встал неровно, цвет не подходит или есть дискомфорт — переделываем бесплатно в течение первого года.

Вопросы и ответы

Можно ли сделать предварительную оценку стоимости и условий кредита?
Да. Запишитесь на консультацию: врач оценит необходимое лечение, а менеджер рассчитает индивидуальные условия рассрочки или кредита на коронки.
В чем преимущества оплаты виниров в кредит?
Возможность лечиться без единовременной финансовой нагрузки, минимальный взнос, гибкий график платежей и прозрачные условия кредитования на виниры без скрытых комиссий.
Какие документы нужны для кредита на виниры?
Только паспорт РФ и предварительная диагностика. Процесс быстрый и без лишней бюрократии.
Есть ли процентная ставка при оплате виниров в кредит?
При оформлении через банк ставка возможна. Внутренняя рассрочка на виниры полностью беспроцентная, без скрытых платежей.
Сколько можно вернуть по налоговому вычету?
Государство возвращает до 13% от суммы, потраченной на лечение, включая имплантацию и протезирование. Узнайте больше о максимальной сумме возврата и необходимых документах на странице «Налоговый вычет».
Условия и сроки гарантии
Гарантия предоставляется на все виды стоматологических услуг. Подробнее об условиях и сроках можно узнать на странице «Гарантии».

Запишитесь на консультацию

Почему виниры в кредит ставят у нас

Ортопеды с учёной степенью

К.м.н. Благушина — преподаватель Сеченовского, член ITI и WIN. 15+ лет практики, более 1000 установленных виниров.

Цифровое проектирование улыбки

3D-сканер Sirona Primescan + программа Digital Smile Design. Видите результат ДО установки — цифровая примерка виниров на ваших зубах.

Своя зуботехническая лаборатория

Виниры делаем на месте — нет накруток посредников. Техник работает вручную, послойно наносит керамику — каждый винир уникален.

Кредит 0% без скрытых комиссий

Клиника компенсирует проценты банку. Вы платите только стоимость виниров — без переплат. Срок 6-24 месяца, одобрение за 15 минут.

2 минуты от метро Автозаводская

Работаем без выходных 9-21. Парковка бесплатная. Оформляем кредит прямо в клинике — не нужно ехать в банк.