УлыбкаPRO
УлыбкаPRO
Цифровая стоматология

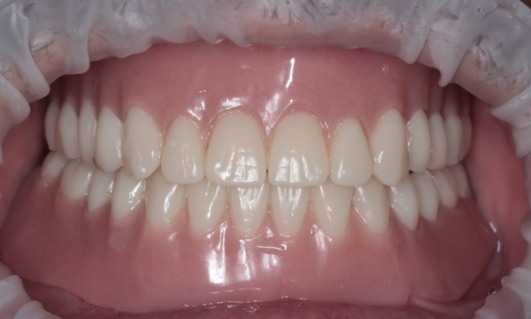
Надёжные съёмные протезы с металлической основой

Бюгельные протезы

Комфортные и прочные! Бюгельные протезы лучше держатся, почти не ощущаются во рту и позволяют жевать без страха

Бюгельные протезы

Бюгельный протез — надёжность и комфорт

Что это

Бюгельный протез — это съёмная ортопедическая конструкция, которая помогает восстановить несколько отсутствующих зубов, когда в зубном ряду остаются опоры. Ключевой элемент здесь — металлический каркас-дуга (бюгель): она делает протез прочнее и позволяет уменьшить лишний объём в полости рта.

каркас-дуга металлический бюгель меньше объёма
Из чего состоит

Обычно такие бюгельные конструкции включают каркас, часть, имитирующую десну, искусственные зубы и элементы фиксации.

Материалы подбирают индивидуально: важно, чтобы протез был безопасным для тканей и комфортным в повседневной жизни.

Чем отличается от пластиночного протеза

За счёт каркаса бюгель чаще ощущается более собранным, а нагрузка распределяется не только на десну — в том числе за счёт более равномерного распределения жевательной нагрузки.

Для бюгельного протеза верхней челюсти (а в ряде случаев и нижней челюсти) это нередко особенно заметно, потому что нёбо перекрывается меньше.

Отзывы

Отзывы пациентов

15 последних отзывов наших пациентов в хронологическом порядке.

Все отзывы

Лечение каналов под микроскопом это совершенно другой уровень качества и точности в стоматологии. Врач видел каждую деталь и смог спасти мой безнадежный зуб который в других местах предлагали просто удалить.

ЖП

Жанна поцюте

09.03.2026

Яндекс.Карты

обратились для проф гигиены и лечения кариеса - все сделали аккуратно и без боли. понравилось отношение и современное оборудование

Алина

Алина

08.03.2026

Яндекс.Карты

Обратился за консультацией по поводу исправления прикуса и получил очень развернутые ответы на все свои многочисленные вопросы. Врач ортодонт предложил несколько вариантов брекетов и элайнеров учитывая мои финансовые возможности и пожелания.

ВМ

Виталий Мухин

08.03.2026

Яндекс.Карты

Воспользовался услугой имплантации под ключ вместе с циркониевой коронкой и результат просто ошеломительный. Зуб выглядит как настоящий и совсем не отличается от соседних по цвету или форме а цена за весь комплекс работ была очень честной.

АД

Александр Дёмин

08.03.2026

Яндекс.Карты

Поздравляю персонал клиники с праздником! Восстановление зубов оказалось довольно долгим - несколько удалений, 8 имплантов и 11 коронок -только для начала. Каждый раз приезжал в клинику с удовольствием. Наверно потому что здесь работают лучшие)) Хорошо что вы есть. Спасибо.

AD

Alex D.

07.03.2026

Яндекс.Карты

Привела ребенка на первый в жизни осмотр и осталась в полном восторге от подхода врачей к маленьким пациентам. Ребенок даже не успел испугаться потому что все прошло в игровой форме и теперь мы пойдем лечить зубки без слез и лишних нервов.

Ольга

Ольга

07.03.2026

Яндекс.Карты

Огромное спасибо клинике и докторам за то что взялись за мою сложную челюсть) Доктору ортодонту Аните Георгиевне огромное спасибо, что взяла меня на снятие брекетов, после другого врача, т.к. многие отказывали отказывали в этом. Доктору-терапевту Эльшаду и Доктору-хирургу Лейли, выражаю огромную благодарность за грамотный подход к лечению полости рта и сохранению своих же зубов. Советую данную клинику, здесь вы получите грамотное лечение и отношение и по демократичным ценам!

NeyronaS Е.

NeyronaS Е.

05.03.2026

Яндекс.Карты

Добрый день! Лечил в этом прекрасном месте зубы. Хотел отметить три главных впечатления: 1. Клиника чистая, атмосфера приятная, сотрудники приветливые, коммуникация - отличная. 2. Хочу сказать слова благодарности Благушиной Наталие Алексеевне , ее ассистентке ( не помню имя) - вы прекрасный хирург. Было оперативное удаление зуба мудрости и чистка десны от остатков корня клыка за 1 раз. Я был впечатлен скоростью работы и ее качеством. Спасибо вам огромное!!! 3. Также хочу поблагодарить Рудометову Марину Алексеевну и ее помошниц ( а их редко благодарят, хотя они тоже вносят немалый вклад в результат) за три залеченных зуба. Марина Алексеевна составила план лечения, первый раз мне лечили зубы с использованием микроскопа, был удивлен. Очень доволен результатом . Спасибо вам огромное!!!

Maxim Mironov

Maxim Mironov

04.03.2026

Яндекс.Карты

Сделали профессиональную гигиену и отбеливание, результат заметен сразу. Врачи внимательные, атмосфера приятная

АМ

Анфиса Митрофанова

04.03.2026

Яндекс.Карты

Была сегодня на гигиене полости рта. Эта одна из самых стрессовых для меня процедур. Я сложный пациент в этом плане. Но как бережны и обходительны были со мной врач Мария и медсестра Светлана! Два моих зубных ангела) Именно благодаря их профессионализму и терпению хожу только в эту клинику. Спасибо и до новых встреч ❤️

Анна Кантер

Анна Кантер

03.03.2026

Яндекс.Карты

Цены на лечение полностью соответствуют качеству предоставляемых услуг и высокому уровню сервиса. Всё прозрачно и честно, план лечения составляют заранее и не навязывают ничего лишнего.

Ю

Юлия

02.03.2026

Яндекс.Карты

Закончила здесь курс ортодонтического лечения и теперь у меня идеально ровные зубы о которых я долго мечтала. Врач всегда был на связи и внимательно контролировал каждый этап процесса.

ЮИ

Юлия И.

01.03.2026

Яндекс.Карты

Ставил здесь имплант и процедура прошла на удивление быстро и очень легко. Всё зажило без малейших осложнений и новый зуб теперь выглядит и ощущается как свой родной.

V

Vasy

27.02.2026

Яндекс.Карты

Плюсы: Прекрасная атмосфера, внимательный персонал, и главное: не больно и быстро происходит лечение. Рекомендую!!!! Респект всему персоналу!!!

Александр

Александр

26.02.2026

Яндекс.Карты

Попал с острой болью, приняли сразу, без очереди. Врач сделал снимок, все подробно объяснил, пролечил зуб быстро и аккуратно - хотя вообще не люблю стоматологов. Цены адекватные, качеством доволен, буду обращаться ещё.

АМ

Арсений Михайлов

26.02.2026

Яндекс.Карты

Показания к бюгельному протезированию

Частичное отсутствие зубов — отсутствует несколько зубов подряд или в разных местах, и опоры сохранены

Невозможность или нежелание проводить имплантацию по состоянию здоровья или другим причинам

Необходимость функциональной и эстетической замены зубов при наличии опорных зубов в хорошем состоянии

Необходимость дополнительной поддержки оставшихся зубов при их подвижности (шинирующий вариант) — только по решению врача

Потребность в более компактной и стабильной конструкции по сравнению с пластиночным протезом

Противопоказания и ограничения

Перед процедурой обязательно проконсультируйтесь с врачом

Полное отсутствие зубов (адентия) — нет опор для фиксации

Опорные зубы в плохом состоянии — подвижность 3-4 степени, невозможность санации

Активное воспаление в полости рта — пародонтит в стадии обострения, незаживающие язвы

Выраженные нарушения прикуса, не позволяющие добиться стабильной посадки

Низкая высота коронок опорных зубов или другие анатомические ограничения

Повышенная стираемость зубов — требуется предварительная коррекция

Аллергия на металлы (в составе каркаса) — обсуждаются альтернативные материалы

Недостаточная гигиена полости рта — требуется обучение и мотивация пациента

Наши работы

Акриловый протез

Сняты оттиски, определена ЦСЧ, подобран цвет зубов, изготовлены конструкции

Подробнее →
Акриловый протез
75 900 ₽

Материалы для бюгельных протезов

Металлический каркас (дуга)

Обычно изготавливается из кобальт-хромового сплава — прочный, биосовместимый, не окисляется.
Реже используют титановые сплавы (при аллергии на хром-кобальт) или драгоценные металлы (золото-платиновые).

Этапы лечения

1

Консультация и диагностика

60-90 мин

Врач-ортопед оценивает состояние опорных зубов и дёсен, прикус, распределение жевательной нагрузки, собирает анамнез. По показаниям делаем снимки, в том числе КТ, а для анализа может подключаться ИИ-помощник Diagnocat.

Адаптация к бюгельному протезу

После установки бюгельного протеза почти у всех есть период привыкания. Это нормально: в полости рта появился новый предмет, и организму нужно время, чтобы перестать на него реагировать.

Наша задача в этот момент — не перетерпеть, а быстро довести посадку до комфортного состояния.

Что может быть нормой в первые дни

1

Непривычные ощущения во рту, повышенное слюноотделение

2

Небольшие изменения дикции, желание постоянно проверять языком конструкцию

3

Изменения в привычном жевании, потому что вы привыкаете к новой опоре

Когда нужна коррекция, а не терпение

натирает давит болезненные точки мешает смыканию ощущается нестабильным

Если протез натирает, давит, оставляет болезненные точки на слизистой, мешает смыканию зубов, ощущается нестабильным — лучше прийти на корректировку.

Чаще всего вопрос решается настройкой посадки.

Важно: не нужно терпеть дискомфорт — современные протезы можно и нужно подогнать под индивидуальные особенности.

Уход за бюгельным протезом

Ежедневная гигиена. Чистка зубов и протеза утром и вечером мягкой щёткой. Ополаскивание полости рта после еды. Аккуратная чистка зоны креплений, без давления и скребка.

Замачивание и дезинфекция. 1-2 раза в неделю замачивать протез в специальном растворе для дезинфекции (можно купить в аптеке). Не использовать кипяток и агрессивные химикаты.

Что нельзя делать. Не подгибать и не чинить протез самостоятельно — можно сломать каркас. Не чистить абразивными пастами и жёсткими щётками — царапают базис. Не оставлять протез без контейнера — может деформироваться или сломаться.

Снимать ли на ночь?. По рекомендации врача. Обычно в первые недели снимают на ночь для отдыха тканей. Потом можно оставлять, если нет дискомфорта и отёков.

Профосмотры и коррекция. Контрольные визиты через 1-2 недели после установки, затем раз в 6 месяцев. Профгигиена в клинике — раз в 6 мес. Если протез начал натирать, изменилось смыкание или фиксация стала слабее — прийти на коррекцию.

Когда срочно к врачу. Если появилась боль, кровоточивость дёсен, подвижность опорных зубов, трещина или поломка протеза, неприятный запах от конструкции — не откладывайте визит.

Срок службы бюгельного протеза

Срок службы имплантов
5-7 лет при соблюдении рекомендаций по уходу и регулярных профосмотрах

Факторы долговечности

Качество гигиены — чем лучше уход, тем дольше служит

Состояние опорных зубов и дёсен — если опоры ухудшаются, протез может потребовать переделки

Тип фиксации — замковая и телескопическая фиксация обычно служат дольше кламмерной

Нагрузка — избыточная нагрузка (жевание очень твёрдой пищи, бруксизм) ускоряет износ

Регулярность профосмотров — своевременная коррекция и ремонт продлевают срок службы

Стоимость бюгельного протезирования

На итог влияет несколько факторов

Тип фиксации

Кламмеры обычно проще, замки и телескопы сложнее по изготовлению

Объём восстановления

Сколько зубов нужно заменить и где расположен дефект

Состояние опорных зубов

Необходимость подготовки (лечение, гигиена, коронки по показаниям)

Материалы и этапы

Выбранные материалы и количество примерок/коррекций для комфортной посадки

📋

Как мы работаем со сметой

Стоимость бюгельного протезирования рассчитывается индивидуально после диагностики.

1

После диагностики составляем план лечения и обсуждаем стоимость до начала работ, без сюрпризов и скрытых доплат.

2

Если в процессе выявляются нюансы, которые требуют дополнительных шагов, мы сначала объясняем это и согласовываем изменения.

Рассрочка до 24 мес без %

Запишитесь на консультацию

Вопросы и ответы

Сколько опорных зубов нужно для бюгеля?
Важно не только количество, но и качество опор: устойчивость, высота коронок, состояние дёсен и прикус. После осмотра и диагностики врач скажет, возможен ли бюгель в вашей ситуации и какой тип фиксации будет безопасным.
Больно ли устанавливать бюгельный протез?
Примерки и установка обычно не болезненны. Если нужна подготовка зубов или лечение, используем местную анестезию.
Нужно ли снимать бюгель на ночь?
Режим ношения зависит от конструкции и состояния слизистой. Мы дадим рекомендации после установки, чтобы было комфортно и безопасно для дёсен и опорных зубов.
Что делать, если протез натирает или давит?
Не подпиливайте и не подгибайте элементы самостоятельно. Запишитесь на коррекцию: чаще всего посадка настраивается быстро.
Можно ли ставить бюгель при проблемах с дёснами?
Иногда да, но только после оценки состояния тканей и в составе комплексного плана. Часто сначала нужно пролечить воспаление и стабилизировать ситуацию.
Сколько служит бюгельный протез?
Срок службы зависит от качества изготовления, состояния опорных зубов и регулярного ухода. Мы объясняем, как продлить срок службы и как часто приходить на контроль.
Что делать при аллергии на металл?
Сообщите об этом на консультации. Врач подберёт материалы и конструкцию с учётом особенностей и противопоказаний.
Можно ли сделать зубы в рассрочку?
Да, конечно. Мы предлагаем рассрочку без переплат и процентов — оформить можно прямо в клинике за 15–20 минут. Условия подбираются индивидуально, а первый взнос часто не требуется.
Сколько можно вернуть по налоговому вычету?
Государство возвращает до 13% от суммы, потраченной на лечение, включая имплантацию и протезирование. Узнайте больше о максимальной сумме возврата и необходимых документах на странице «Налоговый вычет».
Условия и сроки гарантии
Гарантия предоставляется на все виды стоматологических услуг. Подробнее об условиях и сроках можно узнать на странице «Гарантии».

Почему мы

Команда и полный профиль

В клинике работают врачи разных специализаций, поэтому мы можем вести пациента комплексно: от подготовки полости рта до ортопедического этапа. Врачи регулярно повышают квалификацию.