УлыбкаPRO
УлыбкаPRO
Цифровая стоматология

Циркониевые коронки на импланты

Циркониевые коронки на импланты

Что такое циркониевая коронка на имплант

Выдерживает нагрузки Прозрачность эмали Не раздражает десну CAD/CAM точность

Циркониевая коронка на имплант — это искусственный зуб из диоксида циркония. Её ставят на абатмент, который соединяется непосредственно с имплантом, вживлённым в кость.

Диоксид циркония — материал, который выдерживает большие нагрузки, поэтому коронки из него ставят чаще на жевательные зубы. Он не раздражает десну, редко вызывает аллергию и позволяет десневому краю оставаться ровным и здоровым.

Цирконий ценят не только за прочность. Он позволяет добиться не просто цвета, а прозрачности, характерной для живой эмали. В сочетании с цифровым моделированием коронка копирует соседние зубы — по форме, контуру, посадке. Это даёт и комфорт при жевании, и естественный вид.

Цифровые технологии и гарантии

Мы работаем с цифровыми технологиями — CAD/CAM системы позволяют делать абатменты и коронки точно под конкретного человека, под его анатомию. Все детали, включая план лечения и гарантии, заранее фиксируем в договоре.

Гарантия в договоре

Виды циркониевых коронок на импланты

Монолитные циркониевые коронки

Полностью делаются из диоксида циркония — никакой керамической облицовки сверху, только сам материал. Достаточно прочные, чтобы справляться с нагрузкой при пережевывании пищи. Чаще всего выбирают для жевательных зубов, на которые приходится основное давление.

Циркониевые коронки с керамическим покрытием

Конструкция комбинированная. Внутри — прочный циркониевый каркас, снаружи — слой керамики, который отвечает за внешний вид. За счет этого хорошо подходят для передних зубов, где важна эстетика.

Разница между ними в основном сводится к тому, что важнее для конкретного зуба — прочность или эстетика.

Абатмент для коронки на имплант: зачем он нужен

Что такое абатмент

Абатмент — это соединительный элемент между имплантом (искусственным корнем) и коронкой (видимой частью зуба). Коронка не ставится прямо на имплант — сначала фиксируется абатмент, а уже на него — коронка. От абатмента зависят точность посадки, эстетика десневого края и общий комфорт конструкции.

Когда нужен индивидуальный абатмент
3D-МОДЕЛИРОВАНИЕ ИДЕАЛЬНАЯ ПОСАДКА

Стандартный абатмент подходит не всегда. Индивидуальный изготавливают по 3D-модели вашей челюсти, чтобы:

  • • обеспечить идеальную посадку коронки
  • • сформировать естественный контур десны
  • • добиться максимальной эстетики, особенно в зоне улыбки
Что выбрать: циркониевый или титановый абатмент
ЦИРКОНИЙ ТИТАН
ЦИРКОНИЕВЫЙ

Зона улыбки — белый цвет, не просвечивает, максимальная эстетика

ТИТАНОВЫЙ

Жевательные зубы — высокая прочность, цена ниже

Почему абатмент влияет на цену и результат

От абатмента зависят:

Точность посадки — индивидуальный абатмент исключает зазоры
Эстетика — циркониевый абатмент не дает серого оттенка у десны
Срок службы — правильный выбор снижает риск воспаления и расшатывания
Цена — индивидуальный и циркониевый абатменты дороже стандартных титановых

На консультации врач подберет оптимальный вариант под вашу клиническую ситуацию.

Как крепится циркониевая коронка на имплант

Коронка фиксируется на абатмент одним из двух способов. Выбор зависит от клинической ситуации, расположения зуба и конструкции импланта.

Винтовая фиксация

РАЗБОРНАЯ

Коронка крепится винтом, который проходит через коронку и абатмент и вкручивается в имплант. Отверстие под винт закрывается пломбировочным материалом.

Плюсы:
  • Конструкция получается разборной — при необходимости коронку можно снять без повреждения
  • Нет риска остатков цемента под десной
  • Легче контролировать герметичность соединения
Минусы:
  • Эстетика чуть ниже — есть место доступа под винт
  • Требует точного расчета положения импланта

Цементная фиксация

НЕРАЗБОРНАЯ

Коронка фиксируется на абатмент с помощью стоматологического цемента. Соединение получается неразборным.

Плюсы:
  • Максимальная эстетика — нет видимого отверстия
  • Технически проще в исполнении
  • Подходит для большинства клинических случаев
Минусы:
  • При необходимости снять коронку сложнее (требуется распилить)
  • Излишки цемента, если не удалить, могут вызвать воспаление десны

Какой вариант лучше в вашем случае

Врач выбирает способ фиксации на этапе планирования, учитывая:

Расположение зуба

передний или жевательный

Угол установки импланта
Эстетические требования
Возможность доступа для винта

В УлыбкаPRO мы используем оба метода и всегда объясняем, почему в вашем случае выбран именно этот вариант.

Если имплант уже установлен: можно ли сразу поставить коронку?

Да. Если имплант уже стоит, циркониевую коронку можно установить в любой момент.

Главное — убедиться, что имплант в хорошем состоянии и готов к нагрузке.

1

Когда коронка ставится сразу

БЕЗ ОСЛОЖНЕНИЙ

Если имплант установлен давно, полностью интегрирован в кость, нет воспалений и разрушений — можно переходить к протезированию. Врач проверит состояние импланта, сделает 3D-сканирование и приступит к изготовлению коронки.

2

Когда нужна дополнительная диагностика

ЧЕК-ЛИСТ

Перед установкой коронки важно убедиться, что:

Имплант не расшатан
Нет воспаления десны
Костная ткань сохранила объем
Абатмент подходит под новую коронку

Для этого проводится осмотр, рентген или КТ. В 95% случаев проблем не возникает.

3

Когда требуется замена старой коронки

ОБНОВЛЕНИЕ

Если у вас уже стояла коронка на импланте, но она:

скололась или треснула изменила цвет расшаталась устарела эстетически

Циркониевая коронка станет надежной заменой. Врач снимет старую конструкцию, оценит состояние абатмента и импланта, затем изготовит новую коронку.

Важно: если абатмент был установлен под старую коронку, может потребоваться его замена — особенно если новый материал требует других параметров посадки. Это уточняется на диагностике.

Не уверены, подойдет ли цирконий на ваш имплант? Приходите на консультацию — врач проверит состояние и скажет точно.

Наши работы

Коронка из диоксида циркония на имплантате

В несколько посещений

Подробнее →
Циркониевая коронка
44 900 ₽
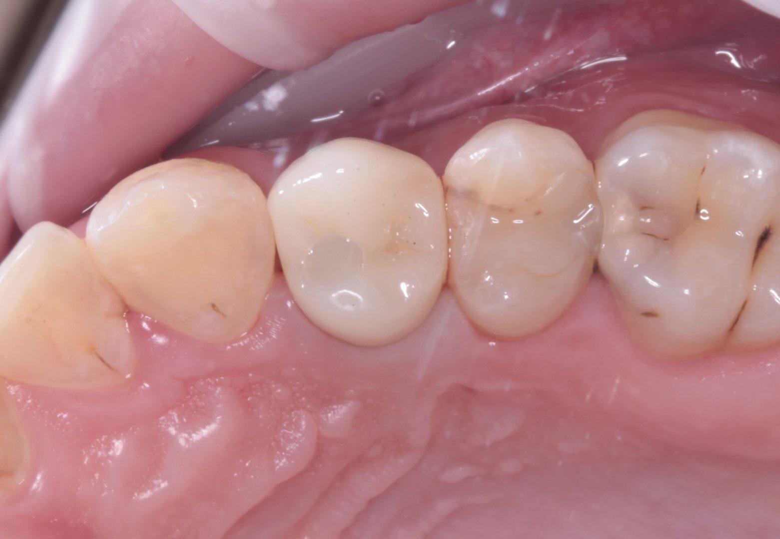
Как выглядит  циркониевая коронка на импланте
Как выглядит  циркониевая коронка на импланте

Показания к установке циркониевой коронки на имплант

Отсутствие зуба или требуется восстановление. Имплант — оптимальное решение по сроку службы и надёжности.

Полная или частичная адентия, когда съёмные протезы неудобны или плохо фиксируются.

Зона улыбки, где важна естественная эстетика и гармония цвета зубов.

Жевательные зубы, где нужна максимальная прочность конструкции.

Противопоказания и временные ограничения

Перед процедурой обязательно проконсультируйтесь с врачом

Воспаления в полости рта — требуется санация.

Дефицит костной ткани — показана костная пластика.

Тяжёлые хронические болезни — только после консультации с врачом.

Острые инфекции — до стабилизации состояния.

Преимущества циркониевых коронок на имплантах

01

Эстетика

По цвету такие коронки практически не отличить от настоящих зубов. Материал передаёт прозрачность живой эмали.

02

Прочность и долговечность

Выдерживает высокие жевательные нагрузки. Срок службы — много лет без повреждений.

03

Отсутствие металла

Десна остаётся здоровой, не возникает раздражений и аллергических реакций. Нет серого ободка у линии десны.

04

Точная посадка

Абатмент и коронка идеально совмещаются благодаря цифровому расчёту и CAD/CAM технологиям.

05

Биосовместимость

Материал безопасен, не вызывает воспаления и не раздражает мягкие ткани.

Дополнительные преимущества циркониевых коронок на имплантах

01

Стабильность цвета

Цирконий не темнеет со временем и сохраняет естественный оттенок даже при длительной эксплуатации.

02

Надежность для импланта

Конструкция хорошо распределяет нагрузку и подходит для постоянного протезирования на имплантах.

03

Гигиеничность

Гладкая поверхность меньше задерживает налет, поэтому ухаживать за коронкой проще.

04

Точная анатомия

Цифровое моделирование помогает воспроизвести форму зуба и добиться комфортного смыкания.

Недостатки циркониевых коронок

Стоимость

Циркониевые коронки дороже металлокерамических. Разница обусловлена качеством материала и методом изготовления.

Требования к точности

Установка требует аккуратной работы врача и лаборатории для идеальной посадки.

Особенности ремонта

Восстановление повреждённой коронки сложнее, чем у металлокерамики.

Сравнение циркониевых коронок с другими материалами

КритерийЦирконийМеталлокерамика
Прочность
Высокая, не трескается под нагрузкой и подходит даже для жевательных зубов
Средняя, со временем может скалываться
Эстетика
Высокая, десна выглядит естественно
Средняя, есть металлический ободок
Влияние на десну
Не раздражает мягкие ткани, снижая риск воспалений
Может давать серый оттенок
Срок службы
15+ лет
8-10 лет
Рекомендуемая зона
Все зубы
Жевательные

Цирконий — универсальное решение для любой зоны. Для передних зубов также хороша керамика, для жевательных — цирконий оптимален по прочности.

Керамические коронки

Эстетика:

Керамика — прозрачнее, естественнее, лучше для передних зубов.

📍
Показания:

Фронтальная зона, только для низкой нагрузки.


Циркониевые коронки на импланты

Этапы установки циркониевой коронки на имплант

1

Осмотр и диагностика

30-40 мин

Врач осматривает состояние импланта, десны и соседних зубов. Оценивает готовность к протезированию.

2

3D-сканирование и планирование

20-30 мин

Цифровое сканирование для точного расчёта. На модели подбирают коронку по размеру и форме, чтобы она идеально легла на абатмент и вписалась в соседние зубы.

3

Изготовление в зуботехнической лаборатории

7-14 дней

По цифровым данным моделируют коронку из диоксида циркония с помощью CAD/CAM технологии.

4

Примерка и коррекция

20-30 мин

Врач примеряет готовую конструкцию, проверяет смыкание с соседними зубами, при необходимости корректирует.

5

Фиксация коронки

30-40 мин

Коронка фиксируется на абатмент с помощью специального цемента или винтового соединения. Врач следит, чтобы посадка была плотной, а контакт с десной — мягким и естественным.

В УлыбкаPRO все этапы проводятся с использованием цифрового оборудования и современного анестезиологического обеспечения. Это гарантирует точность установки, комфорт пациента и долгий срок службы коронки.

Срок службы импланта и коронки: в чем разница

Важно понимать: имплант и коронка — это две части одной конструкции, но у них разный жизненный цикл.

ДОЛГОСРОЧНАЯ ОСНОВА

Сколько служит имплант

Сам имплант (искусственный корень) при правильной установке и уходе служит 20+ лет. Многие пациенты носят импланты десятилетиями без замены. Титан биоинертен, не разрушается и не требует замены, если нет осложнений.

Срок службы 20+ лет
СМЕНЯЕМАЯ ЧАСТЬ

Сколько служит коронка

Циркониевая коронка на импланте служит 15–20 лет. Это срок самой конструкции, которая подвергается жевательной нагрузке, контакту с пищей и внешним воздействиям.

Срок службы 15-20 лет

Когда коронку меняют раньше импланта

Коронка может потребовать замены раньше, чем имплант, в следующих случаях:

Механическое повреждение скол, трещина (редко, но возможно)
Эстетические изменения если нужно обновить цвет или форму
Износ после длительного срока эксплуатации
Воспаление десны если запущена гигиена, может потребоваться снятие коронки для лечения

Важно: сам имплант при этом остается на месте. Заменяется только коронка — это проще, быстрее и дешевле, чем повторная имплантация.

Как продлить срок службы

  • Регулярная гигиена (щетка + нить/ирригатор)
  • Контрольные осмотры каждые 6 месяцев
  • Бережное отношение (не грызть твердое)
  • Своевременное обращение при дискомфорте

Итог

Имплант — долгосрочная основа на десятилетия. Коронка — сменяемая часть, которая при правильном уходе служит 15–20 лет.

Гарантия на коронку и контроль после установки

Мы фиксируем все условия в договоре — никаких устных обещаний.

Целостность коронки

отсутствие сколов, трещин, деформаций

Качество фиксации

коронка надежно закреплена, не шатается

Герметичность посадки

нет зазоров между коронкой и абатментом

Срок гарантии и условия прописаны в договоре индивидуально под клинический случай.

Почему важен контроль после фиксации

После установки коронки мы назначаем контрольный визит. Это не формальность, а важный этап:

1 1–2 недели

проверяем, как вы привыкли к коронке, нет ли дискомфорта, корректируем прикус при необходимости

2 6 месяцев

оцениваем состояние десны, герметичность соединения, отсутствие воспалений

3 Ежегодно

осмотр для продления срока службы конструкции

Что делать, если что-то пошло не так

Если вы заметили:

  • • коронка шатается
  • • появился дискомфорт или боль
  • • изменился прикус
  • • покраснела десна вокруг коронки

Не ждите планового осмотра. Позвоните — мы назначим визит, проверим и исправим. В большинстве случаев проблема решается без замены коронки.

Гарантия работает, когда вы соблюдаете рекомендации по уходу и приходите на контрольные осмотры. Мы всегда на связи.

Все условия в договоре — прозрачно и честно

Рекомендации по уходу за циркониевой коронкой

Чистите зубы мягкой щёткой дважды в день, используйте зубную нить или ирригатор

Контрольные осмотры — каждые 6 месяцев. Врач оценивает состояние импланта, коронки, окружающих тканей

Не грызите твердые предметы, не открывайте зубами упаковки. Берегите коронки от перегрузок

Заметили трещину, дискомфорт, смещение — обратитесь к врачу. Чем раньше, тем лучше

Циркониевая коронка на имплант: цена и что входит

Входит в стоимость

  • Консультация и осмотр врача
  • 3D-сканирование и компьютерное моделирование
  • Изготовление циркониевой коронки (CAD/CAM)
  • Стандартный абатмент (или индивидуальный — при необходимости)
  • Фиксация коронки на имплант (винтовая или цементная)
  • Контрольные осмотры после установки

Оплачивается отдельно

  • Установка импланта — оплачивается отдельно, это хирургический этап
  • Костная пластика — если требуется наращивание костной ткани
  • Лечение сопутствующих заболеваний полости рта (кариес, воспаление десен)
  • Профессиональная гигиена перед протезированием

В УлыбкаPRO стоимость обсуждается заранее — в смете учитываются все этапы: от консультации до контрольных визитов. Пациент видит полную картину до начала лечения.

От чего зависит цена

Тип коронки

Сильно

Монолитная дешевле, с керамическим покрытием — дороже

Абатмент

Средне

Стандартный — дешевле, индивидуальный — дороже

Система импланта

Сильно

Разные бренды имеют разную стоимость

Сложность клинического случая

Средне

Анатомические особенности, состояние десны


Циркониевые коронки на импланты

Рассрочка

24
месяцев
0%
первый взнос
0%
процент
10 000 ₽
в месяц от

Лечение без финансовых забот

Когда предстоит серьёзное лечение, вопрос денег часто висит в воздухе и мешает спокойно дышать. Выход есть: беспроцентная рассрочка, которая оформляется прямо в клинике.

Никаких лишних звонков и походов по банкам — только вы, договор и чёткие гарантии на всё, что сделает хирург.

0% переплата без банков прямо в клинике

Запишитесь на консультацию